Cervical disc surgery - advice?

As luck would have it, I am scheduled for ACDF surgery on C5+C6 at the end of December.

I thought I’d throw it out here, as this community is quite medically aware - perhaps someone has some pointers or advice about preparing for the surgery and post surgical recovery, care and rehabilitation.

Obviously I intend to get into reasonable shape exercise wise as there will be a period of time post surgery where strenuous exercise will be impossible, so I want to get on a higher level before the inevitable decline.

I don’t intend to change my diet too much as it’s already pretty optimized - I might switch to decaf for coffee for the first three months after surgery, as regular coffee apparently tends to leach out calcium. For supplements, I’m thinking of adding small amounts of calcium with meals and apart from meals. Also, add some soy isoflavones from NOW. I’m already doing vit. D and K2 (MK-4 and MK-7), zinc and astaxanthin (12mg/5 days a week), daily magnesium, boron.

For medication: I’m stopping rapamycin 14 days before surgery and empagliflozin 3 days before surgery. I’ll keep telmistartan 80mg/day as usual, and pitavastatin 4mg/day, BA 180mg/day EZ 10mg/day. I intend to resume empa immediately after surgery and rapamycin perhaps 3 months after surgery, though I’m unsure and possibly sooner than that. For now, it looks like I will have to postpone any thought of introducing pioglitazone for at least 12-18 months (pio is a prominent bone negative).[EDIT: now stopping ALL meds two weeks out before surgery, and ALL supplements 72 hours. Post-op, I will wait 14 days before reintroducing empa , because of pissible catherer abrasions; telmi I will wait 10 days after surgery, pitavastatin BA+EZ 48 hours post surgery].

Before surgery I intend to get a teeth cleaning as dental work will not be possible for the first 3 months or so.

I purchased a cervical pillow for sleep and some “slip-on” shoes so I don’t have to bend excessively.

Any thoughts, advice, tips etc. welcome!

7 Likes

So sorry to learn you’ll need this surgery!

To add to your potential list for post surgery bed rest, my PT recommends a wedge for your legs (link included for the one he personally uses in his office) to take pressure off your lower back, and to put little rolled up towels (or better yet, toddler pillows) under each arm in order to raise them a touch. I don’t know why, but he feels it’s important. Through this method, he has taught me to be comfortable sleeping on my back, which I’ve never been able to do.

Something like this:
https://www.amazon.com/dp/B0009STNC4?ref_=ppx_hzsearch_conn_dt_b_fed_asin_title_1&th=1

3 Likes

Thank you, Beth. I feel that sleep is going to be the trickiest adjustment here. I need to adjust the best I can. My idea is to try all of this before the surgery to work out the best system.

1 Like

@CronosTempi
Also sorry you have to have surgery and endure the rehab. My comment mostly to try to transmit some positive energy to you having recently been out from surgery myself for 6 weeks. I’m now back at the gym recovering losses. I think your list is really great and I agree with all of it. You’ve been much more deliberate than I at carefully selecting a regimen that will help you heal most effectively.

Surgery seems particularly hard for us healthy conscious individuals. The lack of activity/exercise and stopping meds/supplements that we deem beneficial seems to be the hardest part.

Again good luck, I hope the surgery lessens your pain and increases your quality of life!

3 Likes

Thank you, 59vw (btw. my dad’s first car was a 63 bug :grin:). I have long had a feeling that whatever will ultimately transpire to be the most immediate cause of my demise is something that was never on my horizon. This surgery was not on my horizon, nor the disc degeneration and subsequent nerve damage (I’ve never had back or neck pain or any spine issues!). I was unaware of it even a month ago. So while I take care of my cholesterol, glucose, BP etc., there’s something brewing that I have no clue about and that will be what does me in when my time comes :rofl:.

But for now, I’m fighting the good fight. Thank you for your words of encouragement, it means a lot - this is a great community!

10 Likes

I have the same surgery scheduled on November 21st.

I put it off for 5 years with self directed physical therapy consisting of:

  • daily traction, mobility and flexibility work, and
  • 2 to 3 times a week strength training for my neck.

Over that time I had a few epidural steroid injections to deal with acute intense pain.

I made great progress, by my improvement eventually stopped. Pain disrupted sleep. I found a guy a NY’s Hospital for Special Surgery.

Pretty long recovery time from this procedure.
Up to a year before you get all the functionality you can..

Got cleared to use my Katalyst EMS suit.

Stimulates 90% of one’s musculature without stressing one’s skeleton.

One can additionally use it in “aerobic” mode to increase intensity of walking while one recovers from surgery without the impact of running.

One could also use it on an elliptical, X-countrty ski machine, or stationary bike.

The Katalyst routine videos take one through calisthenic like movements, but one can get almost the entire benefit by just turning on and sitting in a chair. So, great for recovering from neck surgery or a whole range of injuries.

Doesn’t load the skeleton.

I plan to have a chat with my surgeon and physical therapist about how to do so safely while the bone grows between the 2 vertebrae.

2 Likes

Thank you for the tips! That’s amazing. I’m quite intrigued with the suit. I’m going to check it out.

Right now I’m watching a bunch of videos to prepare for the surgery and aftermath, and gathering stuff that will be helpful, like non-stick bandages and tegaderm waterproof bandages.

FWIW…
My view

Surgery should be the last choice.

Quick AI search;

Ozone injection therapy for cervical disc herniation has demonstrated effectiveness and a significantly lower complication rate compared to surgical interventions like microdiscectomy. A 2024 systematic review and meta-analysis concluded that ozone disc nucleolysis significantly reduces pain and disability associated with cervical disc herniation.
In a 2022 study, patients with cervical radiculopathy treated with ozone injections experienced a reduction in neck and arm pain scores from an average of 7.8/10 to 3/10 within one month, and less than 1.4/10 at six months and one year, with an 85% success rate and no complications reported.

When compared to surgery, ozone therapy is markedly safer; the complication rate for microdiscectomy ranges from 3% to 6%, whereas the complication rate for ozone injections is only 0.064%.
A 2010 meta-analysis of 12 large studies involving 8,000 patients found that ozone injections successfully reduced or eliminated pain and improved function in approximately 80% of patients.

Furthermore, a 2014 study reported that only 18% of patients treated with ozone required surgery within five years, and no additional surgeries were reported up to ten years, with 88–90% of patients avoiding surgery and maintaining improvement.

Combining percutaneous microdiscectomy with ozone injection appears to offer superior outcomes compared to ozone injection alone. A retrospective study found that at the 6-month follow-up, 89.2% of patients receiving the combined treatment achieved effective results (excellent or good), compared to 73.7% in the group receiving ozone injection alone, with a statistically significant difference (P = 0.033).
The combination therapy also led to lower visual analogue scale (VAS) scores during follow-up.
No major complications were reported in either group in this study.
Overall, ozone injection, particularly when combined with microdiscectomy, presents a safe and effective alternative to cervical disc surgery with durable results and minimal risk.

One of many published papers

1 Like

Thank you, Joseph for that info. It certainly seems like a viable option to surgery for many. However it is important to note that it may not be indicated for all or more complex conditions. At present ozone therapy is not FDA cleared, which may present problems for getting coverage from most insurance companies.

In a situation of simple spinal stenosis or herniated disc, this may be a good option. However, if the case is more complex (like mine), you can have already extant myelopathy and hiperintensities, which need more invasive measures, and in that case surgery is the gold standard. Also, disc replacement is an option to ACDF, but again, in more severe cases, such as mine I am not a candidate - I discussed this with the surgeon who explained that whenever he can he prefers disc replacement, but in some cases (mine) that’s just not an option.

@Alpha, I wish you all the best with your upcoming surgery, and may Lady Luck smile on you! Please let us know how it goes and any thoughts you may have from your experiences. Just as an FYI, yt is a great resource for additional information about these conditions and treatments, and you can find good info from a variety of perspectives, from surgeons, neurologists and other healthcare providers such as PT practitioners, nurses and caregivers, to patients and their family members. I personally have found all the information pretty helpful and generally educational. I believe in being an active participant in your own medical treatments, and am grateful that I live in a time where the internet has provided all of us with unlimited access to immense informational resources - however much I complain about the slow progress of science and technology, I always keep in mind that things were much, much worse within (my) living memory, so I am still incredibly grateful for the progress thus far. Again, my best wishes and I’m crossing my fingers for you​:crossed_fingers::muscle:.

2 Likes

FWIW: Odds are in your favor. I asked ChatGPT 5 to review patient satisfaction:

1. Do patients generally feel ACDF (including C5–C6) is worthwhile?

Large US registry – 1–2 level ACDF (mostly C5–C6/C6–7)
Quality Outcomes Database study of 4,148 patients undergoing 1–2-level ACDF for degenerative disease (radiculopathy/myelopathy):PubMed

  • At 12 months:
    • 67%: “Surgery met my expectations.”
    • 20%: “Did not improve as much as I hoped, but I would undergo the same operation for the same results.”
  • So ≈87% of patients were broadly satisfied and would choose the operation again.
  • Satisfaction was strongly influenced by pre-op disability, symptom duration, Workers’ Comp status, etc., rather than by the exact cervical level.PubMed

Single-center registry – 1–3 level ACDF
Danish series of 318 ACDF patients (1–3 levels) for cervical radiculopathy:PubMed

  • At 1 year, 74.3% reported a positive change in health status.
  • Neck Disability Index, pain scores, and quality of life all improved significantly.

Outpatient ACDF series
A study of outpatient ACDF (1–2 levels) reported 95.6% of patients were satisfied with their outcome.IJSSurgery

Ultra–long-term follow-up (>20 years)
More than 20-year follow-up of ACDF patients for degenerative disc disease:BioMed Central

  • 88% rated their neck problem as “improved” on a global rating scale.
  • 68% were “pleased” or “mostly satisfied” with the outcome, even decades later.

:point_right: Take-home: For appropriately selected patients having 1–2-level ACDF (including C5–C6), roughly 80–90% report that the surgery was worthwhile and would choose it again. A smaller group (~10–20%) has limited benefit or ongoing issues.

Good luck and best wishes.

1 Like

I had a two-level fusion of my c-spine as well. I had the surgery Thursday morning, was home by noon. My surgeon gave me instructions, such as no driving x 2 weeks, etc. I had no pain except a sore throat on Thursday night from the endotracheal tube. I drove to work the following Monday. I would rate it as easy on me as my inguinal hernia repair.

4 Likes

I forgot one thing…

I also use and plan to use through my recovery the Cool Fat Burner (I have no affiliation with the company).

I use both pieces.
Each vest like piece has insertable ice packs.

Site states:

"…first brown fat weight loss ice vests, published in the peer-reviewed “The Journal of Sports Medicine and Physical Fitness.”

Case studies.

Cold stress via the Cool Fat Burner:

  • Accelerates ketosis on low carb diets
  • Activates ‘AMPK,’ (enzyme involved with cellular “clean-up” likely associated with improved health and longevity).
  • Burns calories.
  • Increases brown fat.
  • Reduces white fat.
  • Reduces inflammation.

Work up to an hour or so a day, while sitting in a chair.
Get extra ice packs if you want to do longer.

I use it on days I don’t do weight or Katalyst training.

I leave it in the freezer between sessions. This leads to some minor complaints from my family, but they have “cold adapted” (at least to me).

The price has gone up a bit since I got mine, but they can outfit you for < $150.

Art De Vany once said, “cold is exercise”.

Not directly related but an interesting YouTube video from Art De Vany - On Being a Long-Lived, Lean, Muscular, Fast Twitch Phenotype, given at 85 years old, 8% body fat.

Maybe not entirely, but this thing can deliver lot of the benefits exercise even over the course of recovery from surgery or injury.

1 Like

Aah, yes - this is a whole other universe, Cold Exposure Therapy. This is not merely a resource for post operative recovery, it is so much more. It is a true longevity intervention, some argue on the level of effectiveness and importance of Calorie Restriction. Back when the CR Society website was still alive (RIP), there was a long running discussion of the merits of CE vs CR, with fans of both. It was an immense resource with tons of studies and evidence, all now sadly gone. CE is not much discussed here, which is surprising because there is robust evidence of profound longevity benefits. Holloszy et al, did landmark studies in rats proving that CE is just as effective in longevity as CR (in rats).

So yes, good on ya for bringing up cooling vests, there’s a whole bunch on Amazon from what I recall, for those who are more $ constrained.

My surgery

21 November
Hospital for Special Surgery
NY, NY

Scheduling

The day before surgery, I received a call from the surgical scheduling team telling me to get to the hospital at 5:30 AM 21 Nov.

I said, “No”. No way I would go into a surgery with a sleep deficit.

Someone got back to me an hour later with a new time of 10:45 AM.
The night before the surgery I had the best sleep (as measured by my Oura ring) that I’d had in 6 months.

I highly recommend that you get as much high quality sleep as possible leading into the surgery.

The glitch

I went in thinking they only needed to do C5 & C6. When I arrived for my pre-op screening and check in, I learned that they had a procedure scheduled to fuse C5, C6, and C7.

I asked that they review the plan.

This stopped everything until my surgeon rechecked my imaging and his plan for the procedure.
He came to me personally, cleared up confusion, and apologized for not making it explicitly clear.

The procedure proceeded

Once wheeled into the operating room and placed on the table, someone injected me and I didn’t even get to count backwards from 10.

Recovery room

I approached consciousness (but just barely) several hours later in the recovery room. They had let my wife in to see me as I wouldn’t get moved to my room until after visiting hours.

I learned later they still had tubes in me and I had splattered blood on my face and forehead. Gave her a fright. My wife, a formidable and stoic ferocious sort, burst into tears when I called her the next morning.

Hadn’t seen that in almost 30 years together. Kind of sweet.

Overnight

I finally woke up probably around 10 PM as the nurses started coming in every hour to check vitals and administer medications and fluids.

I don’t think the anesthesia wore off until well into the middle of the night, maybe 3 am or 4 am.

Not certain what else they pumped into me over night.
No pain though.

Next day

They had me up to walk to the toilet.
They brought me soft food, think baby food.

The surgery I had moves things around and causes pretty significant swelling in the neck making it very difficult to swallow. Not easy to talk either.

Waking me every hour continued through the day.

Pain became a thing. I felt beat up. Somehow even my tail bone hurt, maybe they dropped me. Oxycodone + Tylenol + Muscle relaxers helped.

In the afternoon the release process began. I got seen by PAs, PTs, my surgeon, and a few others.
They had me walking up and downtime halls of the hospital as well as up and down stairs. Reviewed how to move and how not to move.

The nerve pain in my fingers (a near constant prior to surgery) went away.
I still had something like nerve pain that I experience through the front of my left shoulder.
This surprised my surgeon, he expected I’d feel something at the back of my shoulder, but didn’t find it out of scope of expectations.

I became aware of other things.

To sleep at all the first night I had the hospital bed raised at about a 40 degree angle.
I also found that I only needed a minimal pillow.

Prior to surgery I had all manner of wedges and cervical pillows because I needed to bend forward to relieve the constriction of the nerves.

This has changed.

The new constriction in my throat also affected normal draining of my sinuses so it felt like I had a cold.
This continues to affect me eleven days after surgery.

My surgeon also advised that the traction of C5, C6 and C7, stretched a set of nerves that he described as encompassing a diamond spanning from the top of my neck to each shoulder and then to the middle of my back.

He said I could expect pain and discomfort for a while, but that the nerves would calm down over time.

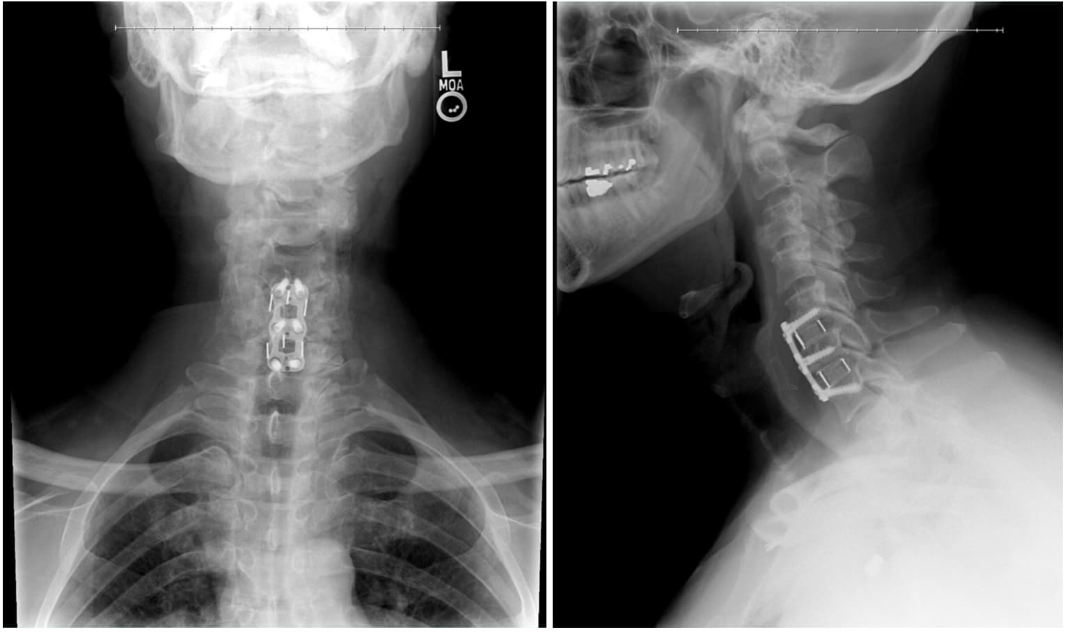
They took the X-rays posted above to check that everything looked right and released in the late afternoon.

Extraordinary hospital. Extraordinary staff. All focused on the best outcome for their patients.

First week home

I stayed on Oxycodone + Tylenol + Muscle relaxers for most of the first week.

One typically needs to take Senna with Oxycodone to offset its constipating effect.
I take copious quantities of resistant starch and fiber, so I didn’t have an issue with this.

Eleven days out and I still can’t swallow easily. All food mushed up or semi liquified.
Still difficult to swallow pills.

One needs to stay mindful of how one moves. It takes a long time for the vertebrae to fuse and until they do, one needs to restrict movement and activities.

How much and what kind remain questions I’ll take up during my follow up in another week.

My legs still work. My arms still work. Most of body can still bend. My brain still works

Sleep

I give sleep its own section heading. The combination of the surgical intervention and drugs wrecked my sleep and disturbed my dreams.

I wake up every hour.

Not certain if the medications act as diuretics.
Certainly sinus drainage contributes to the disturbed sleeping.

I found that having my bed raised at a 20 to 25 degree angle with a bolster under my knees helps. Both lower and higher angles make it worse. Sitting up ok on the sinuses but impossible for sleeping.

A new pain

10 days post surgery I woke up with an intense muscle spasm in the lower right of my back - a more intense and acute pain then anything since surgery.

Not certain why but I think going from doing active HIT strength and mobility work plus lots of walking to not, may have contributed to this.

I don’t feel like I can get down on the floor and stretch.
I don’t think using a massage gun makes sense yet.

Possibly dehydrated?
Possible reaction to the medications leeching away electrolytes?

Bone growth stimulation

Prior to my procedure I had asked my surgeon if he had experience using PEMF to accelerate recovery. This led us to a discussion he clearly doesn’t have with all of his patients.

He recognized the uses of PEMF and advised that he had some patients use the Biomet SpinalPak
device.

He arranged for me to work with a company representative. Who clearly thinks using the device can exceed the published results.

Biomet SpinalPak: a non-invasive electrical bone growth stimulator** (capacitive coupling) that delivers a very low-level electrical field across the fusion site.

  • Designed to deliver 270 days of continuous therapeutic treatment for 24 hours per day

  • recommended daily therapeutic treatment: continuous for 24 hours (except when bathing/showering, etc.).

The SpinalPak increases the probability of a solid fusion**, especially in higher-risk situations (age, multilevel fusion, prior nonunion, smokers, etc.)

A key nuance:

  • The published data and coverage policies support better fusion rates (fewer non-unions),
  • They do not give a reliable “time savings factor” (e.g., “24-hour wear cuts healing time from 12 months to 6”).

So:

  • Using it 23–24 hours/day maximizes your chance of a strong fusion.
  • It might tilt things toward the earlier end of the usual bone-healing window.
  • It does not realistically turn a 12-month biologic process into a guaranteed 3–4-month finish line.

Medicare covers the device in full.

How long until you’re “as good as you’re going to get?

For me, a 73-year-old with a multilevel C5–C7 ACDF:

Typical (very broad) expectations without a stimulator:

  • 3–6 months: early bone bridging, gradual symptom improvement; activity level expands slowly.
  • 9–12+ months: fusion often considered “solid” on imaging; you’re getting close to your long-term functional baseline.
  • Up to 12–18 months: nerves and soft tissues can still adjust, so small improvements can continue even after the fusion itself has matured.

With SpinalPak used as directed (near 24 hrs/day):

  • Your odds of achieving a solid fusion go up.
  • Your surgeon might see convincing fusion toward the earlier side of that 9–12-month window.
  • But there’s no good evidence that even perfect 24-hour compliance lets anyone confidently say, for example, “You’ll be fully ‘as good as you get’ at 6 months instead of 12.”

Your overall “how good one gets” also depends on:

  • Pre-existing nerve damage
  • Spinal cord/nerve recovery (which is slow and stimulator-independent)
  • General conditioning, posture, PT, comorbidities, etc.

Follow up with my surgeon 9 Dec

So much to discuss.

8 Likes

Thank you, @Alpha, for this detailed report. I was waiting for your report, but didn’t want to hurry you in any way. I’m sending you my best wishes and strong moral support. I await further reports at your own pace.

Btw., I’m amazed at your flexibility learning at the last moment that you’re having C5-C6-C7 instead of C5-C6, as I think it would break my brain if I found that out on the day of the surgery (wtf???). I have been mentally preparing myself for weeks for C5-C6, reading the literature, watching yt videos etc., and getting ambushed from left field like that would leave me completely discombobulated. So, thanks for the warning, alerting us to the fact that something like this is in the realm of possibilities (especially that I have some significant stenosis at discs C3-C4-C5, and the operation is at the most significant stenosis C5-C6).

1 Like

One more thing…

Cross infection: Prior to rolling me into the operating room, HSS swabbed the inside of my nostrils with an iodine like solution. They had previously advised that they would do this to reduce the risk of cross infection due to the common presence of staph in our nasal passageways. Not certain if this has become standard practice, worth asking about though. HSS pays attention to details.

A second thing: I had a second thing, but can’t remember it now. Maybe later. Just remembered the second thing.

HSS also gave me a bottle of ENSURE Pre-surgery Clear Carbohydrate Drink and had me drink it 3 hours prior to my checking in for the surgery.

Maybe little things, but again, HSS pays attention to details.

@Alpha, on that note, a surgeon has told me their protocol for planned surgery is to have patients shower with Hibiclens for two days prior.

1 Like

Thank you! I have done extensive preparations for the surgery, partially based on reports such as yours! I intend to write a post soon, pulling together the protocol I’ve implemented, so that hopefully it might be of help to anyone facing this surgery in the future. All the details you’ve mentioned matter, thank you again, and wishing you a speedy recovery - that’s the next challenge!

This is a post pulling together my pre-op protocol, in the hope that anyone who is interested in the subject in the future, when searching may come across this and may find something useful. This is a work in progress, and I will come back after the operation and assess what worked and what not (at least for me).

Your surgeon, insurance and the team

This may be obvious, but your surgeon is going to be key. Vet them shamelessly. Have they done the procedure often enough. Is there patient feedback. What’s the reputation. Talk/email them - I did so, I asked for the number of procedures he did and complication rates - it’s just due diligence. He answered comprehensively with all percentages including patient satisfaction rates. He came highly recommended with a stellar reputation. I read the pubmed papers he was a co-author on. I talked to people.

Insurance. You really want to be clear on costs and coverage ahead of time. No surprises. There’s nothing worse than dealing with claims and financial complications when you’re trying to recover.

What’s the team like? I’m having my operation at UCLA a teaching hospital with excellent staff. So far, my pre-op care has been excellent.

Medication, Supplements

I take several meds which are not prescribed by my physician. Some of these have counterindications for surgery. In any case, my thought is that I don’t want anything in my system that is not officially in my charts - this less because of some known complications and more because I may not be aware of all subtleties regardless of my own exhaustive research. Therefore, I have looked up how long it takes for the various meds to clear out of the system, and I intend to stop them all with a safety margin. The same for all supplements.

Crucially, a few days before the surgery, I have already booked a blood test with LabCorp to look at my various biomarkers and to make sure that sirolimus is out of my system completely.

However, leading up to that stoppage, you might want to nourish your body with minerals, vitamins and supplements for a few weeks, which might be helpful. I won’t list the full protocol for each, just mention a few such supplements: various forms of calcium and magnesium, vitamin D3, vitamin K1 and K2 (mk4. mk7), vitamin A, B12, manganese, soy isoflavones, zinc, boron, glucosamine, astaxanthin etc. Obviously, you should develop a protocol to fit these into your stack without too much conflict.

Exercise

In general, you are going to be restricted for some time after the surgery, and also, you want to be in as good a shape as possible going into the surgery. For this I divide the exercise into two parts.

General conditioning

I’m doing a lot of cardio and some muscle weight bearing with emphasis on functionality. So, jogging almost every day, with HIIT-like bursts in two of those sessions a week, plus a high tempo very strenuous hiking up hill once a week. Then the regular squats and other functional muscle exercises.

Pre-hab

There are a range of exercises prescribed as PT for rehab after surgery. There are also a range of exercises you can do pre-surgery which will prepare your musculature for the challenges ahead, so you get a jump start on the rehab exercises. You do them now, so that you can learn them well and they become part of your regular exercise and you hit the ground running after your surgery. These you can find from your PT pre-surgery and from yt videos on rehab after ACDF surgery. I have both resources and I’m doing these daily.

Education

Read up on your surgery. Understand what is being done and why. There are tons of studies on pubmed, and demos on yt and patient testimonials. Learn what the possible complications might be and prepare ahead of time, and try to avoid risk factors insofar as possible. You should be fully prepared for what to expect. Let the experience of those who came before you prepare you for what’s to come.

Hardware and med supplies

Get enough of these to not have to hunt for them or buy once you’re back home. Scar tissue creams - there are dedicated ones out there for purchase on Amazon. Good quality bandaids that are waterproof and easily removable. Numbing lozenges such as sucrets. Cervical neck pillow. Hot and cold compresses (for some cold works, for some heat). Remember: you will be limited in motion, bending, raising arms, twisting neck, turning etc. Get slip on shoes, the kind you just need to put your foot in, without bending, looking down, tying shoelaces etc. they sell a bunch on Amazon (I bought Sketchers). Prepare a bunch of clothing you can take on and off easily - buttons and zippers, nothing you need to pull overhead - button shirts, zippered hoodies, wife-beater undershirts you can just slip off your shoulders and down, not up over the head. Also, more open neck shirts - you will have a scar on your neck, don’t irritate it with clothing. Get a bunch of straws and also sports bottles you can sip from without throwing your head back.

You will be put on antibiotics and painkillers. This means you will need to stimulate your BM - stock up on magnesium oxide, stool softeners, and gut biome restoring agents, fiber, fermented foods, maybe tributryn (antibiotics might wipe out gut bugs, but you still want butyrate!). Why stock up? Because you don’t want to start assembling once you need it immediately and find out they’re out of your favorite low salt kimchi or sauerkraut etc. Get new manual toothbrushes and heads for your electric - you will be extra vulnerable to infections in your throat and your cervical spine - you don’t want germs insofar as you can help it, so all new implements should wait for you when you come back from surgery, new interdental brushes and so on.

Get your diet dialed in. Prepare all the soft stuff you will need when swallowing is hard. But you don’t want it to be unhealthy. Preparing ahead of time, will make that easier.

Modify your home environment

You won’t be able to bend your head, twist or turn the neck for some time, or lift heavier objects (5-10lbs). No overhead items. Purchase a soft neck brace (as little as $10 on amazon), not because you will necessarily wear it after surgery (depends on your surgeon), but because it will immobilize your neck in a way that will mimic your limitations immediately after surgery. With this neck brace - wear it for a couple of full days and walk and work around your house. Quite eye opening. Get everything you need at eye level, not high up on some shelf - you won’t be reaching. You won’t be able to look down at your feet much. Clear away stuff that you may bump into - stuff in the way, slippery carpets etc. The bathroom as well as the kitchen can have quite a few traps and surprises. Is your bed ready for you to roll out of without sitting up? Is your night table within reach and items on it accessible to blindly reaching for? The neck brace will reveal a lot.

This can be extended to you outside environment too - your garden and also your neighborhood. You will be walking quite a bit. Put on the brace and walk around. You will soon map out which paths to take - no bumps, no obstacles, low hanging branches, dog parks where dogs can enthusiastically jump on you or playing kids can bump into you. Clear views without having to turn or twist your neck, safe from cars or joggers around corners who might crash into you. Walk around, map out, prepare.

Even if you won’t wear a neck brace post surgery, it might still be useful for sleeping or being outside - there, you wear it to signal “glass - handle with care”, so people don’t slap you on your back or expect you to move swiftly, or bump into you with a cart at a store or such. Crazy example: just last weekend I was hiking in the local hills and a couple of guys were throwing a football around, one of them playfully threw it at me as I was passing, and I had to throw it back. Umm, hopefully he wouldn’t do it if I had a neck brace on advertising - NO SUDDEN MOVEMENTS PLEASE!

Look around the house. Does anything need to be done that will be harder post surgery? Need to change lightbulbs? Bring something from upstairs to downstairs? Put away something on a high shelf for storage? Pull something OUT of high shelf storage? Fix something high up or paint something? Fix stuff around the house that will be a hassle otherwise, even trivial stuff - you will need to focus on recovery, not exchanging an uncomfortable chair or doing some mundane task that needs concentrating. Mow the lawn, fix the window, trim the hedge ahead of time.

Prep - body, procedures, after care

You won’t be able to be at the dentist with your neck for some time. Even after a few weeks, you will still need to be on antibiotics if any dental procedures need to be done. So, why not get it all out of the way ahead of time?

1)Get all your dental work done ahead of time - teeth cleaning and gum care also. You don’t want to have excess germs in your mouth (your throat, and more importantly your newly fused spine!). Your dental hygiene should be impeccable. No bleeding gums, no gingivitis, no periodontal issues, no decayed teeth - these are germ volcanoes. And you don’t want a dental emergency just after surgery. You should get your mouth in tip top shape, so you don’t need to visit a dentist for at least 6 months and not have to gobble up antibiotics to do so.

2)Get a haircut. You don’t want to have hair irritating and a nuisance when you can’t turn your head or have it manipulated. Get it out of the way ahead of time.

3)Cut your toenails, trim dead skin and sort out any problems with your feet - you won’t be able to bend easily and it’s just a hassle - having your significant other do it or hiring a pedicure/manicurist.

Assistance

Do you live alone? Your significant other hopefully is going to be free for a few weeks (unless they work), but make sure to get help around the house, hire somebody if you have to - zero in on candidates ahead of time. You may find yourself needing assistance, perhaps unexpectedly. You can’t anticipate everything, so you will need others to pitch in.

Have your significant other drive with you in the passenger seat from the hospital or wherever your surgery takes place to your home AHEAD of time, so that you can anticipate traffic patterns, unpleasant surprises, potholes and the like. The drive home after the operation should be smooth and free from shocks.

Odds and ends

Everything should be put on a flowchart - dates and actions that need to be taken at any given point. That way, you only need to refer to it to see what needs to be done on any given day and into the future.

Prepare a checklist before you go in for the surgery. Everything needs to be on the list. The items you want to take, including documents, actions to complete (charge phone etc.), phone calls to be made. Whom to inform of what. What to hand off to your significant other when you are ready to be taken.

Sanity check

All of this prep is fiddling at the margins. 99.99% is up to the skill of your surgeon, your condition and blind luck. All of the above is 80% psychological to give you the feeling of at least some control over your fate (even if illusory) - this makes it mentally easier to take charge of your recovery and maintains an active stance in your healthcare (and life). You are not a passive subject, but an active participant in your own care.

One thing is certain: there will be surprises. Take them as they come, because your conscience is clear: you’ve done all you could to prepare and have no regrets. What cannot be anticipated is not material for self-reproach. You’ve done your part. But life still has its say.

To be revised as needed, and revisited post surgery for assessment!

5 Likes

Are you requesting that only the surgeon be the one who is actually doing the surgery? This is one of those delicate operations where I definitely wouldn’t want some intern/resident-in-training poking around in there.

Also, how does jogging not aggravate your symptoms? Seems like all of that bouncing up and down on a hard surface wouldn’t be ideal(?)

2 Likes