Bear with me, I haven’t created a new topic for some time, typically sharing and adding to existing topics. But, I didn’t want this update to get lost in the sea of replies. SO… here it is a stand alone topic.
Thymus rejuvenation. Fascinating - but really!?! This Fahy dude was researching a dried up gland nobody cared about for youthful rejuvenation, T-cell formation and overall immunity health, skin quality , organ repair - SPARE ME the snake oil salesman!
But then… I really became interested in the Thymus when Matt Kaeberlein @mkaeberlein interviewed Dr. Greg Fahy over a year ago. Link: https://www.youtube.com/watch?v=Xj45rcfzrbM
Matt Kaeberlein was intrigued enough at the end of his podcast to consider trying it - a let’s go!
So… why not me? Chatted with my Personal Physician January 2025 - showed him the Fahy TRIIM research. He was aware of a few other patients doing well on it. He said he would support me - but pharma grade HGH was expensive ($2,000-$3,000 per month - ouch!). Our buddy @AgentSmith helped me find top HGH at about $110 per month for 3-4 iu daily injection. Ordered my hooch. Tested my IGF-1 (measured at 490) had the good stuff. Took my shots daily.
A year later, I start checking on how to see my thymus.Ultrasound - can’t see through the bone, MRI - okay but not great. CT-Scan the Gold Standard.
Okay, I did not do a baseline CT-Scan, assuming my thymus would be like everyone elses - dried up and full of adipose tissue - FAT!! A CT-Chest Scan costs $8,000 - after insurance - you pay $2,000 not cheap and there is the radiation factor for the test. So, I only did a final scan. In the Matt Kaeberlein interview it was shared that the thymus under rapamycin would repair some and be compacted - actually smaller - tighter. A brief exchange of PM messages from me to Matt K. determined a 3-month wash out of rapamycin prior to the CT-Scan would give my thymus ample opportunity to reach its full size. TBH - quitting rapamycin for 3-months after 4 years straight weekly use was hard. At 2 months I was really feeling funky, return of some arthritis, gym workouts a bit harder. Kind of in a funk. Happy to say I have been 2 months back on rapamycin and rocking again.
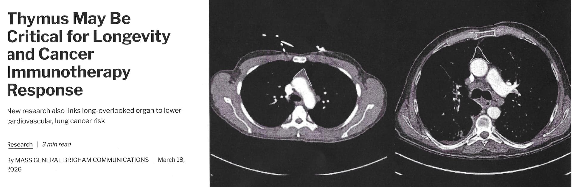
Then, this timely article came out: Long Dismissed in Adult Health, the Thymus May Be Critical for Longevity and Cancer Treatment | Mass General Brigham
Let’s compare a healthy thymus on the left image in the article to a less healthy thymus on the right.
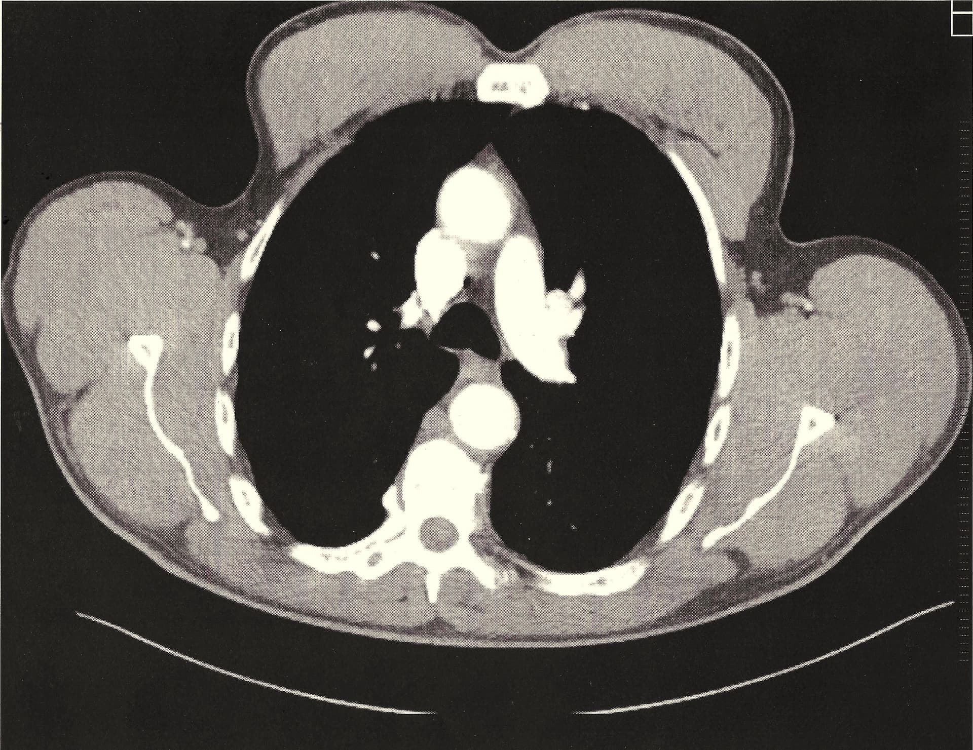
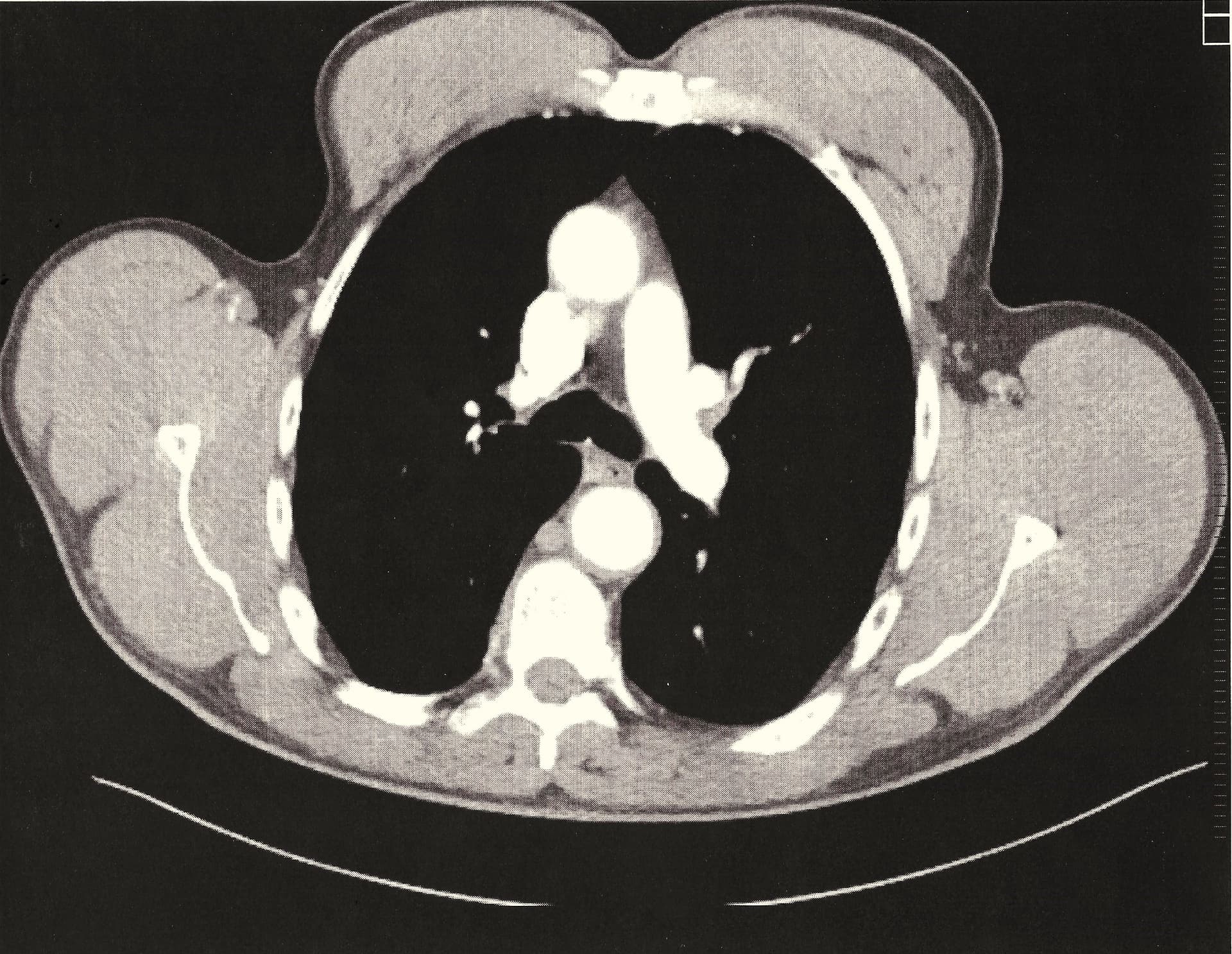
Use the above image as a reference – I did not outline my thymus - it shape is pretty obvious.Click to increase size and detals. Excellent scan.
And now my thymus at the top - pic 25/67 and one layer down - cutting through it… pic 26/67 - it is big, full and fat free.
So there you are… now only using small HGH dose of 2 iu for maintenance every other day, a bit more when I feel skin damage or other body trauma needs a kick. Next to rapamycin – HGH is the best addition to my healthspan plan followed by TRT. In this order, Rapa, HGH, and TRT. I think all three are rocking me.
I will be 68 years in 2 weeks. Feeling like 40’s again.






